(+) Услуги клиники

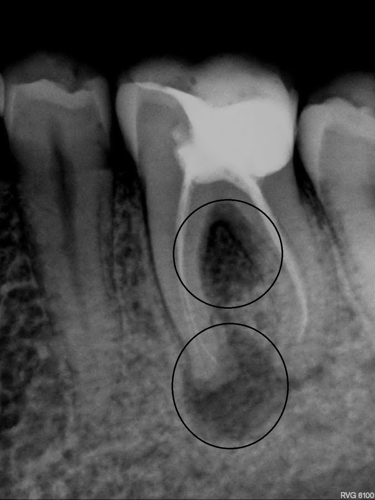
Киста зуба

Киста зуба - осложнения и лечение

Киста зуба - одно из стоматологических заболеваний воспалительного характера, которое имеет слабую симптоматику, но при этом может закончиться осложнениями.

Киста - это образование около корня зуба. Оно возникает на фоне воспаления, во время которого перед организмом стоит две задачи - уничтожения патогенных клеток и сохранение своих.

киста зубаКогда с последней возникают проблемы и нужно сохранить здоровые окружающие ткани, происходит ограничение воспалительное участка путем формирования полости. Киста - это защитная реакция организма.

Образование кисты может быть результатом травматического проведения корня, попадания инфекции в канал зуба, запущенных заболеваний зубов и корней.

Что касается симптоматики заболевания, она может быть слабо выраженной или же вовсе отсутствовать. Часто бывает так, что есть проявления только основного заболевания. От этого зависит диагностика кисты. Нередко она обнаруживается случайно при проведении диагностических мероприятий по поводу других патологий. Это еще раз говорит о важности регулярного посещения стоматолога.

Киста может также проявляться небольшим бугорком на десне. А вот в случае осложнений может развиваться флюс и формироваться свищ. В таком случае содержимое кисты начнет выходить наружу.

Киста может иметь такие последствия, как потеря зуба, убыль костной ткани, развитие периодонтита, распространение инфекции на окружающие ткани.

Лечение кисты

На начальных этапах образования кисты есть возможность провести терапевтическое лечение. Создается доступ к кисте, пораженные ткани вычищаются, нейтрализуется воспаление, после чего корневой канал и зуб пломбируются.

Может потребоваться и операция. Например, цистэктомия или резекция корня. Доступ к образованию создается через десну. Киста удаляется, закладывается препарат для заживления тканей, накладываются швы.

В некоторых ситуациях есть показания к удалению зуба, но это только в тех случаях, когда он сильно поврежден, или когда киста имеет большие размеры.

Удаление зуба - это крайняя мера, поэтому если врач принимает такое решение практически сразу, следует насторожиться. Лучше проконсультироваться с другим врачом. Удаление зуба должно иметь весомые основания. Это возможно только по определенным показаниям.

При подозрении у себя кисты нужно как можно скорее записаться на прием к стоматологу. Это может быть терапевт (осмотр, диагностика, консультирование) или хирург (лечение).

Записаться на прием можно по телефону +7 (391) 208-00-15

Запись на приём Мы перезвоним Вам в ближайшее время