Правильный прикус — это не только эстетически приятный вид, но и правильное выполнение зубами всех жевательных функций. От этого зависит здоровье всего организма.
Неправильный же прикус необходимо корректировать, например, с помощью брекетов, таких систем, как Damon Q или Damon Clear.
Использование таких конструкций — самый популярный способ исправления прикуса. К настоящему времени есть несколько вариантов исполнения брекетов, которые, впрочем, сходятся в одном: они создают контролируемое усилие на зубы, заставляя их принять нужное положение.
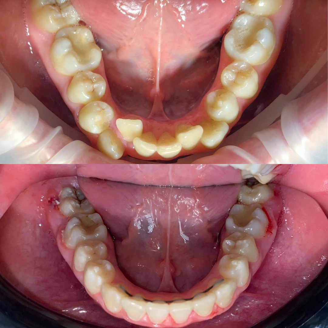
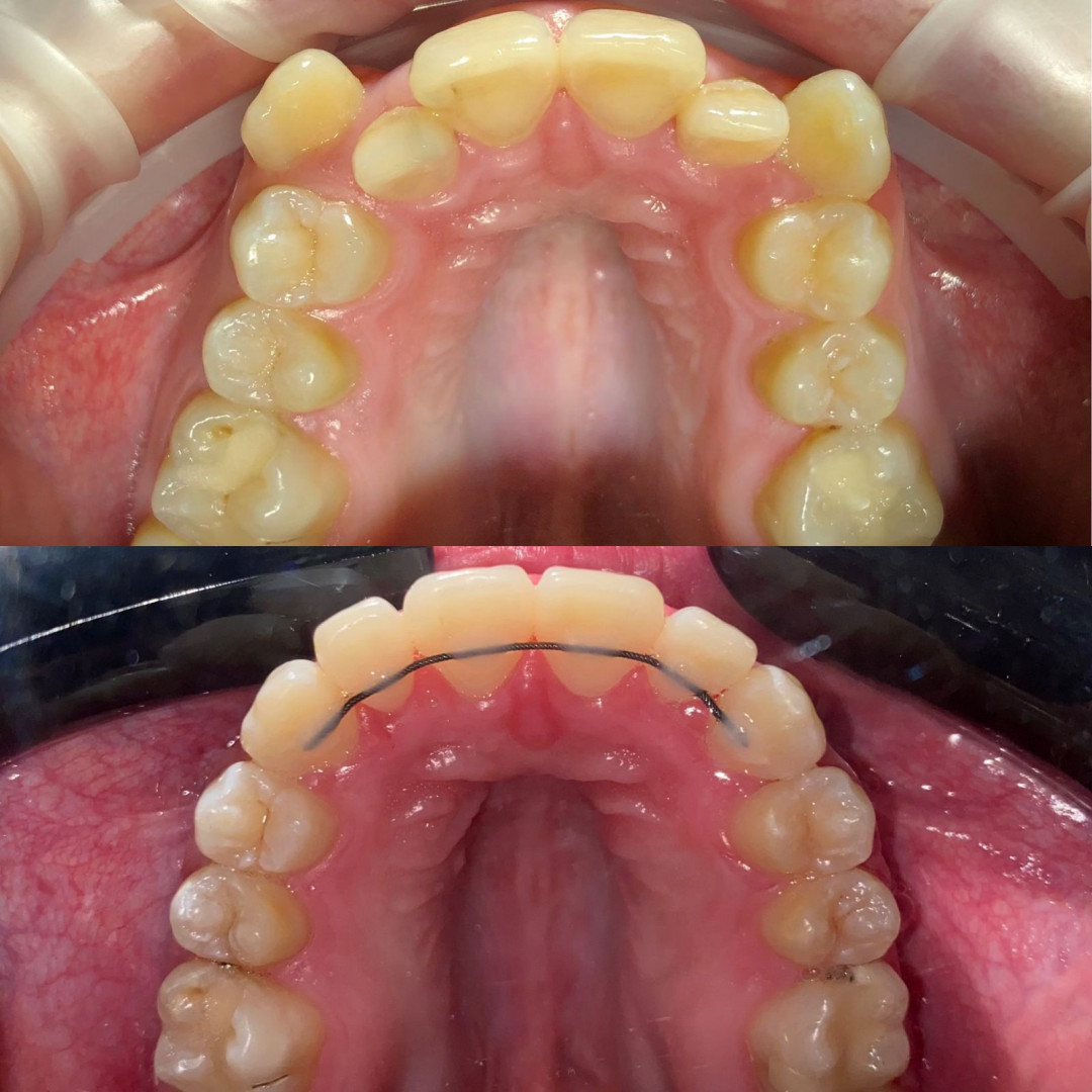
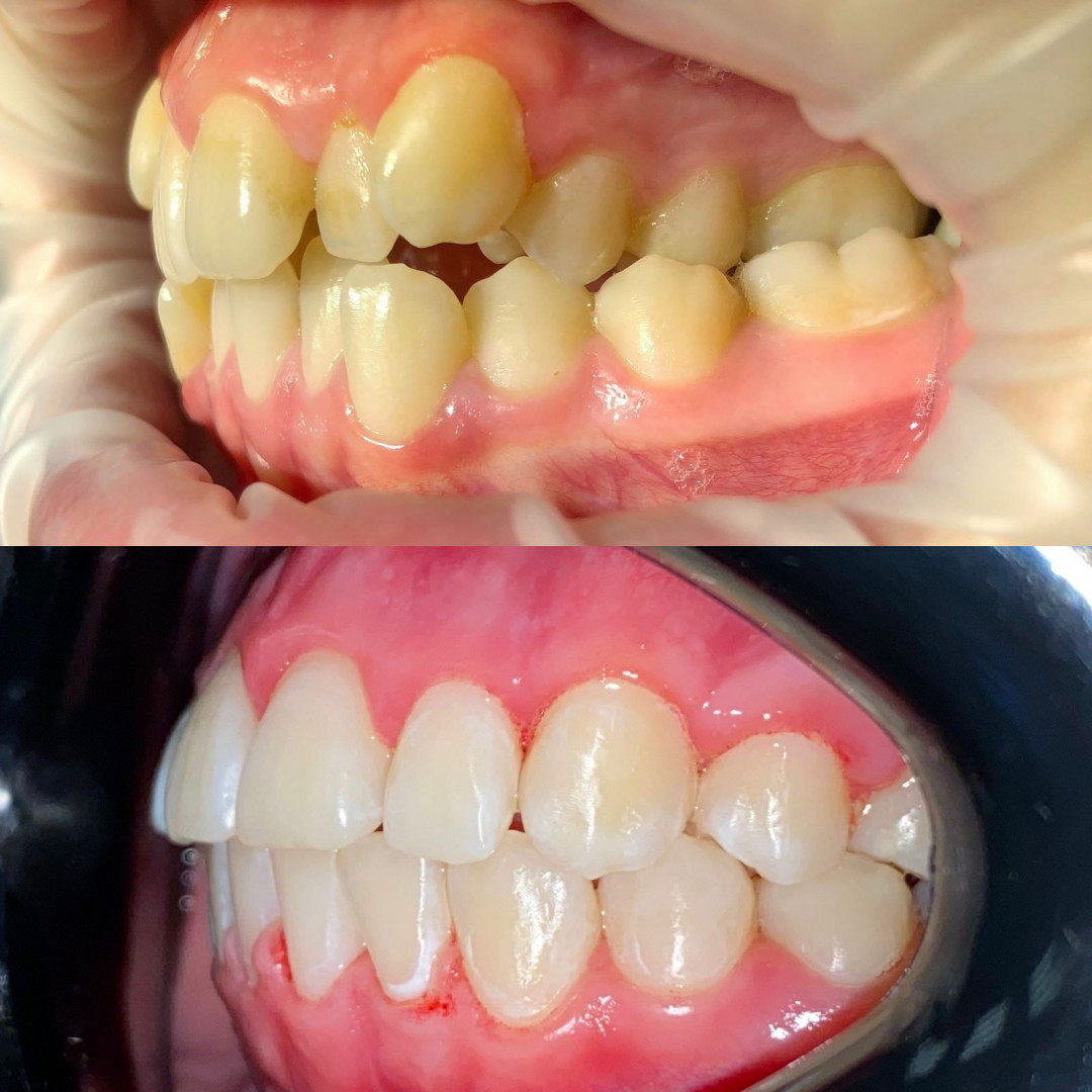
Проблемы, которые испытывают пациенты до начала лечения:И это еще не все, и скорее всего следующее
Нарушение прикуса в той или иной степени может быть диагностировано у большинства населения. Подавляющая часть дефектов является незначительной и не требует проведения каких-либо процедур по корректировке. Однако существуют и аномалии, которые доставляют эстетический и физический дискомфорт, приводят к развитию психосоматических расстройств и способствуют проявлению целого ряда других признаков, среди которых:
Исправление прикуса с помощью брекетов доступно в любом возрасте. Однако нужно помнить, что возраст накладывает свои ограничения: чем моложе пациент, тем проще будет провести процедуру. Показания к коррекции и необходимость её проведения определяются врачом-ортодонтом. Он же подбирает брекеты подходящей формы, а также сообщает вероятность полного исправления прикуса.
Даже правильно установленные брекеты в самом начале доставляют пациенту определённый дискомфорт. Однако эти ощущения притупляются через некоторое время. В этом процессе принимает участие и врач, которые помогает минимизировать неприятные ощущения.
Работа брекетов основана на стремлении изогнутой дуги занять максимально прямое положение. Зафиксированные на зубах замочки не позволяют этого сделать, за счёт чего внутреннее сопротивление дуги начинает оказывать давление на сами зубы. Этот процесс позволяет одновременно выставить несколько зубов в правильное положение. По мере необходимости врач корректирует положение брекетов, направляя общее движение зубов к одному уровню.
Брекеты позволяют справиться с различными проблемами, касающимися кривизны зубов. К ним относятся:
Каждая из проблем предполагает собственный вариант решения, помогающий исправить недостатки прикуса.
Существует несколько типологий, на которые разделяются брекеты:
Исходя из материалов изготовления, брекеты можно разделить на:
Незначительное нарушение прикуса может быть исправлено с помощью элайнеров — специальных прозрачных кап, создаваемых индивидуально.
Чаще всего брекеты устанавливаются на срок от 6 до 18 месяцев. В случае же, когда врач-ортодонт имеет дело сразу с несколькими нарушениями прикуса, срок ношения брекетов может растянуться до двух-трёх лет. Поэтому не рекомендуется доверять рекламным предложениям, обещающим исправление всех проблем с прикусом за срок, который вдвое или второе короче цифр, обозначенных выше. Точный прогноз может сообщить лишь сам врач после проведения всех необходимых процедур.
Ношение брекетов во взрослом возрасте может привести к появлению дискомфортных ощущений. Действительно, эти конструкции нельзя снять в любое удобное время (как это делается, например, с элайнерами). Поэтому с неприятными ощущениями организм вскоре свыкается.
Брекеты давно зарекомендовали себя как одно из лучших средств по исправлению неправильного прикуса. К плюсам такой методики необходимо отнести следующие обстоятельства:
В качестве минуса брекетов, пожалуй, можно назвать долгий срок исправления проблем. Однако другие решения зачастую предлагают схожие сроки.
Напомним, что раннее лечение всегда облегчает весь дальнейший процесс исправления прикуса. При обращении пациентов уже в зрелом возрасте существует риск, что придётся удалять неправильно растущие зубы, чтобы обеспечить нормальную работу брекетов.
После прохождения лечения вы будете:
Вся зубочелюстная система связана и важно учитывать все нюансы состояния ротовой полости, суставов, положение позвоночника, чтобы избежать негативных последствий
Вы можете записаться и пройти первичное обследование по установке брекетов по телефону 208-00-15
Будем рады Вас видеть на прием!
| Ортодонтическое лечение | Цена |
| Первичная консультация врача-ортодонта (2 приема, план лечения) | 1000 руб. |
| Лечение брекет системой Damon Q (2 челюсти, без активаций) | 120500 руб. |
| Лечение брекет системой Damon Q (1 челюсть, без активаций) | 65000 руб. |
| ВыгодноПрофессиональная гигиена полости рта в ПОДАРОК - (3 посещения)при установке брекет-систем | 0 руб. ( |
| Лечение брекет системой Damon Clear на верхнюю челюсть от клыка до клыка, Damon Q на нижнюю челюсть | 13 5000 руб. |
| Лечение на частичной брекет системе | 6 200 руб. |
| Активация брекет-системы полноценная | 7 000 руб. |
| Замена одного брекета Damon Q | 3 500 руб. |
| Лечение аппаратом "LM Активатор" | 13 350 руб. |
| Установка orto-винта | 10 500 руб. |
| Аппарат Марко-Росса | 45 000 руб. |
"Март" - это современная и технологичная клиника, оснащенная самым современным оборудованием

Импортные материалы
Современные импортные материалы и оборудование - гарантия качественного и долговечного лечения. 3M, NSK, Euronda, Kerr

Эстетика
Красота на первом месте. Здоровая улыбка сочетающая в себе красоту, долголетие и комфорт.

Безопасность
Безопасные технологии для пациентов. Мировые стандарты стерилизации и обработки инструментов, лечения.

Диагностика
В нашей клинике доктора активно применяют новейшие системы 3D-диагностики для точного планирования лечения, предсказуемых результатов.

Гарантия
Мы даем расширенную гарантию на лечение кариеса в нашем центре от 1 года. Не понравилось? Переделаем! Мы уверены за свой результат.

Сопровождение
Не бросаем своих пациентов. Для нас важно, чтобы здоровье пациентов было под контролем, именно поэтому проявляем сверхзаботу!
Наилучшее, доступное качество лечения за разумные деньги в Красноярске. Высокое качество услуг и диагностики для всей семьи. Гарантия высочайшего качества в клинике стоматологии Март.
В первую очередь мы дорожим каждым пациентом и стараемся выполнять наши обязанности на высшем уровне!
Мне довелось пройти с врачом и администратором Ириной долгий путь . У меня была имплантация, протезирование . За это время я просто влюбилась в администратора Ирину , она очень чуткая и добрая девушка , всегда сопереживала и сочувствовала если у меня шло что-то не так и радовалась от души когда мой этап закончился , а это было почти год . Низкий Вам поклон и удачи в вашей не легкой работе , отдельное спасибо хирургу , он спас меня от всех моих страхов , по матерински пообещал , что будет все хорошо и все приживется . Руки его делали свое дело с такой уверенностью и умением , что нет ни доли сомнения , о том что это врач от бога . Я Вам всем мои родные благодарна и дай вам бог здоровья, удачи и успехов .
Спасибо стоматологии МАРТ и в особенности Золотому врачу Евгению Алексеевичу! Вы вернули мне мои зубы, как в молодости и даже лучше! Просто не могу не нарадоваться своей идеальной улыбке. Шла в клинику, готовилась в неприятным ощущениям и боли, а оказалось все наоборот, приятная атмосфера, даже посмеялись с доктором на общие темы. В общем очень комфортно и спасибо за лечение!
Добрый день! После посещения данной стоматологии остались только положительные эмоции и чувство благодарности за проделанную работу специалистами данного учреждения. Приятный молодой человек произвёл запись онлайн и встретил доброжелательно при в ходе. Очень красивая и чистая обстановка, доброжелательность и профессионализм персонала сделали своё дело. Спасибо вам за вашу работу.
Была на чистке зубов первый раз в своей жизни, все прошло прекрасно и безболезненно! На ресепшен встретили с улыбкой, заполнила необходимые документы, проводили в кабинет и приступили к процедуре Доктор - приятная девушка, всё рассказала о чистке, провела все манипуляции, дала советы, что необходимо сделать с несколькими зубами, посоветовала зубную щетку, все по делу. Чистая, новая и светлая клиника! Буду советовать друзьям и родственникам) Спасибо Вам большое!
Всем добрый день! Я бы тоже хотела поделиться своим отзывом о посещении стоматологической клиники Март. Получилось так, что я с детства боюсь стоматологов и, наверно, я не одна такая😂 как вспомню звук бормашины, сразу мурашки по телу. Естественно, мои походы к стоматологу можно пересчитать по пальцам одной руки. И Слава богу, что у меня практически нет проблем с зубами, кроме пары пломб ещё в школьные годы. Огромное спасибо клинике Март, рекомендую от души.