Гигиена полости рта – знакомое с детства понятие. Несмотря на это, многие люди неправильно ухаживают за зубами или не делают этого вовсе.
В результате появляются разнообразные стоматологические заболевания, начиная с кариеса и заканчивая полной адентией или потерей всех зубов.
Чтобы избежать таких неприятностей, стоит понимать, что думают по этому поводу стоматологи.
Основные методы ухода за ротовой полостьюГигиена полости рта включает в себя два направления:
Каждое из направлений по-своему важно, так как исключение любого из них ведет к ухудшению состояния зубов и их последующему лечению.
То, что необходимо ежедневно пользоваться зубной щеткой и пастой, знает каждый. Но не все могут правильно подобрать для себя эти средства. Для начала стоит выбрать зубную щетку. Для подавляющего большинства людей подходят стандартные щетки с классической щетиной средней жесткости. Однако при наличии проблем в ротовой полости – кровоточивость десен, тонкая эмаль, стоит обратить внимание на более мягкую щетину. Людям с имплантатами стоит использовать более жесткие щетки, при этом менять средства личной гигиены необходимо раз в 3 месяца. Хорошей практикой является пользоваться домашним ирригатором.
Второй по важности предмет – зубная паста. На полках магазинов множество видов, но выделяют несколько ключевых категорий:
Как правило, выбирают ту пасту, которая больше «по вкусу» или средство с направленным действием. Однако при наличии стоматологических заболеваний, стоит пользоваться только теми средствами, которые порекомендует врач.
Чтобы зубы были крепкими и здоровыми, необходимо хотя бы периодически прибегать к кабинетной чистке зубов в кресле у стоматолога. С помощью домашнего ухода очень сложно удалить отложения, которые образуются в процессе жизнедеятельности микроорганизмов ротовой полости.
Профессиональная чистка состоит из нескольких этапов:
С помощью полировки стоматолог добивается натуральной белизны, а также проводит флюоризацию эмали, что помогает защитить зубы на некоторое время после чистки.
Перед тем, как приступить к удалению зубного камня, стоматолог проводит с пациентом профилактическую беседу, в ходе которой происходит обучение грамотному уходу за полостью рта. При необходимости специалист дает рекомендации по коррекции рациона.
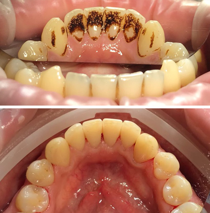
Примеры работ:


Кабинетная чистка может проводиться двумя способами:
Профессиональную чистку зубов стоматологи рекомендуют совершать не реже одного раза в год. Заядлые любители табака и кофе могут прибегать к процедуре чаще – 2 раза в год. Домашний уход за полостью рта должен навсегда стать верным другом профессиональной чистке. Тогда ослепительная улыбка будет радовать своего хозяина и его окружение еще очень долго.
Записаться на консультацию и гигиеническую чистку можно по телефону +7 (391) 208-00-15
| Вид услуги | Цена |
| Консультация врача-гигиениста (первичная) | 300 руб. |
| Снятие зубных отложений ультразвуком в/ч+н/ч | 2000 руб. |
| Снятие отложений аппаратом AirFlow | 2500 руб. |
| АкцияКомплексная чистка зубов "Все включено" | 4300 р. ( |
| Фторирование APF-Gel | 1200 руб. |
"Март" - это современная и технологичная клиника, оснащенная самым современным оборудованием

Импортные материалы
Современные импортные материалы и оборудование - гарантия качественного и долговечного лечения. 3M, NSK, Euronda, Kerr

Эстетика
Красота на первом месте. Здоровая улыбка сочетающая в себе красоту, долголетие и комфорт.

Безопасность
Безопасные технологии для пациентов. Мировые стандарты стерилизации и обработки инструментов, лечения.

Диагностика
В нашей клинике доктора активно применяют новейшие системы 3D-диагностики для точного планирования лечения, предсказуемых результатов.

Гарантия
Мы даем расширенную гарантию на лечение кариеса в нашем центре от 1 года. Не понравилось? Переделаем! Мы уверены за свой результат.

Сопровождение
Не бросаем своих пациентов. Для нас важно, чтобы здоровье пациентов было под контролем, именно поэтому проявляем сверхзаботу!
Наилучшее, доступное качество лечения за разумные деньги в Красноярске. Высокое качество услуг и диагностики для всей семьи. Гарантия высочайшего качества в клинике стоматологии Март.
В первую очередь мы дорожим каждым пациентом и стараемся выполнять наши обязанности на высшем уровне!
Мне довелось пройти с врачом и администратором Ириной долгий путь . У меня была имплантация, протезирование . За это время я просто влюбилась в администратора Ирину , она очень чуткая и добрая девушка , всегда сопереживала и сочувствовала если у меня шло что-то не так и радовалась от души когда мой этап закончился , а это было почти год . Низкий Вам поклон и удачи в вашей не легкой работе , отдельное спасибо хирургу , он спас меня от всех моих страхов , по матерински пообещал , что будет все хорошо и все приживется . Руки его делали свое дело с такой уверенностью и умением , что нет ни доли сомнения , о том что это врач от бога . Я Вам всем мои родные благодарна и дай вам бог здоровья, удачи и успехов .
Спасибо стоматологии МАРТ и в особенности Золотому врачу Евгению Алексеевичу! Вы вернули мне мои зубы, как в молодости и даже лучше! Просто не могу не нарадоваться своей идеальной улыбке. Шла в клинику, готовилась в неприятным ощущениям и боли, а оказалось все наоборот, приятная атмосфера, даже посмеялись с доктором на общие темы. В общем очень комфортно и спасибо за лечение!
Добрый день! После посещения данной стоматологии остались только положительные эмоции и чувство благодарности за проделанную работу специалистами данного учреждения. Приятный молодой человек произвёл запись онлайн и встретил доброжелательно при в ходе. Очень красивая и чистая обстановка, доброжелательность и профессионализм персонала сделали своё дело. Спасибо вам за вашу работу.
Была на чистке зубов первый раз в своей жизни, все прошло прекрасно и безболезненно! На ресепшен встретили с улыбкой, заполнила необходимые документы, проводили в кабинет и приступили к процедуре Доктор - приятная девушка, всё рассказала о чистке, провела все манипуляции, дала советы, что необходимо сделать с несколькими зубами, посоветовала зубную щетку, все по делу. Чистая, новая и светлая клиника! Буду советовать друзьям и родственникам) Спасибо Вам большое!
Всем добрый день! Я бы тоже хотела поделиться своим отзывом о посещении стоматологической клиники Март. Получилось так, что я с детства боюсь стоматологов и, наверно, я не одна такая😂 как вспомню звук бормашины, сразу мурашки по телу. Естественно, мои походы к стоматологу можно пересчитать по пальцам одной руки. И Слава богу, что у меня практически нет проблем с зубами, кроме пары пломб ещё в школьные годы. Огромное спасибо клинике Март, рекомендую от души.