Рано или поздно проблемы с зубами становятся актуальными для все более широких масс населения. Плохая гигиена полости рта, недостаточное количество витаминов, генетика или условия окружающей среды накладывают свой отпечаток на здоровье. Причем в последние годы разрушение и потеря зубов становится заметна не только для возрастных пациентов, но и для молодого населения. Запускать и откладывать лечение зубов никогда не стоит, лучше вовремя заняться реставрацией, чтобы не допускать запущенного состояния и не применять радикальные меры.
Восстанавливать зубы нужно в любом случае. Их отсутствие вызываем психологический дискомфорт, нарушает питание и пережевывание пищи, зубочелюстная система страдает и появляются мимические морщины.
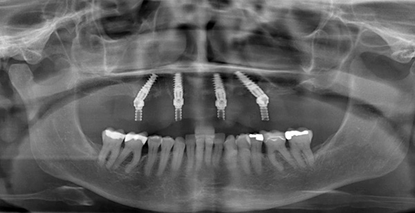
Технология all-on-4 или «Все на 4х» позволяет решить такую проблему, как полное отсутствие зубов. Технология восстановления зубного ряда «все на четырех» - инновационный метод, отличающийся высокой надежностью, эффективностью и быстрым периодом адаптации. Будущий протез фиксируется на 4х установленных в челюсть имплантатах. Нагрузка распределяется равномерно на импланты, и это позволяет зафиксировать надежно будущий протез, не доставляя пациенту никакого дискомфорта.

Установленные в верхнюю челюсть импланты
Суть данного вида протезирования заключается в установке 4х дентальных имплантов на одну челюсть, на которые уже крепится несъемный протез. Два из четыре имплантов устанавливаются во фронтальном (переднем) отделе костной ткани, а два оставшиеся в боковом или дистальном отделе и устанавливаются под углом 45°. Дистальный отдел - это задняя область в которой находятся коренные зубы «моляры» по 3 зуба с каждой стороны челюсти. При таком методе нагрузка от несъёмного протеза распределяется равномерно по челюсти и не вызывает осложнений в последствии.
Данная технология позволяет восстановить эстетическую и функциональные назначения зубного ряда для пациентов, страдающих полным отсутствием зубов на нижней или верхней челюстях независимо от пола и возраста пациента.
Для фиксации протеза на имплантатах установленных в дистальном отделе под углом используется специальный наклонный мультиюнит-абатмент. Такая особенная конструкция позволяет крепить протез на импланте под 45 градусов с очень высокой степенью надежности.
Протокол «Все-на-4х» позволяет проводить операцию имплантации с немедленной нагрузкой. Что это значит? Для пациентов это хорошая новость в связи с тем, что практически сразу после проведения операции возможно изготовить временный акриловый протез и уже сразу установить его пациенту. Все это происходит в течение трех дней после основной процедуры.
Пациент уже начинает привыкать к новым зубам, жевать, постепенно повышая нагрузку и улыбаться.

Для того, чтобы успешно провести операцию и получить нужный результат необходимо, чтобы выполнялись следующие условия:
Этапы выполнения имплантации и подготовка
Технология неоднократно доказала свое явное преимущество перед классическими методами имплантации и съемным протезированием.
К недостаткам стоит отнести такие особенности, как сильную атрофию челюстной кости, что повышает вероятность неравномерного распределения нагрузки на челюсть пациента.
К альтернативным методом имплантации стоит отнести технологию «Все на 6» или All-on-6, когда устанавливается большее количество имплантатов, требующихся для большей стабильности всей системы. В этом случае 4х установленных дентальных имплантов уже недостаточно.
Цены на имплантацию и протезирования данным методом в первую очередь зависят от используемого вида имплантатов. В нашей клинике стоматологии МАРТ мы используем для восстановления проверенные временем и врачами со всего мира надежные импланты от производителей из Южной Кореи и Швейцарии. Это системы Mis, Dentium Implantium, Straumann.
Стоимость проведения всей операции All-on-4 уже включает в себя необходимые этапы хирургического вмешательства, этапы ортопедической работы по установке временных и постоянных конструкций. Например, хирургический этап с установкой временной конструкции начинается от 190 000 руб.
Следует помнить, что не нужно экономить на стоимости устанавливаемых имплантов. Главным фактором должна являться стабильность и качество системы, чтобы установленные конструкции служили долгие годы и только радовали пациентов.
Работа наших специалистов всегда начинается с тщательного планирования, изучения клинической картины и рассмотрения всех особенностей влияющих на достижения стабильного и успешного результата в лечении. Благодаря компьютерной 3D-диагностике точность всех манипуляций исключает какие-либо ошибки. Наши врачи прошли обучение по выполнению сложных дентальных операций с применением последующего ортопедического лечения и реабилитации пациентов.
Как уже сказано, два из четыре имплантов ставятся под углом, что максимально делает систему надежной. Импланты шинируются между собой и нагружаются. Это позволяет значительно поднять надежность ортопедической конструкции. В случаях же, если кость пористая или её не достаточно, то 4х имплантов будет мало, и тогда скорее всего предпочтение будет отдано конструкции «Все на 6ти». Все эти моменты подробно обсуждаются на этапе планирования с пациентом.
Многих пациентов волнуют вопросы:
Мы готовы обрадовать наших пациентов, что ограничений по возрасту не существует, и выполнять операцию можно на любом этапе жизни. Главными ограничениями остаются также индивидуальные противопоказания к процедурам имплантации и хирургическому лечению. Не стоит откладывать операцию, тем более в пожилом возрасте, когда появляется возможность вернуть себе зубы и насладиться полноценной жизнью.
При использовании временных конструкций с немедленной нагрузкой уже через месяц появляется возможность постепенно вернуться к нормальному питанию и умеренно твердой пище, исключая орехи, твердое мясо.
Если пациент верно соблюдает правила ухода на установленные импланты и конструкции, то после заживления импланты будут стоять всю оставшуюся жизнь. Замены требуют лишь несъёмные протезы, которые в зависимости от ситуации и материалов необходимо обновлять каждые 10-20 лет.
Производители дают пожизненную гарантию на импланты, что свидетельствует о высочайшем качестве технологии.
Также для пациентов с периодичностью не менее раз в год необходимо проводить профессиональную гигиену полости рта.
В целом, конструкция очень надежная и удобная для пациентов, как правило, привыкание занимает от нескольких дней до месяца у разных пациентов, и в дальнейшем конструкция воспринимается как собственные зубы.
Если вы решились на проведение данной процедуры методом «Все на 4х», следует предварительно проконсультироваться с нашими специалистами, записаться на осмотр и начальную диагностику. На приеме мы подробно расскажем о всех возможностях проведения операции, альтернативных методах лечения.
Записаться на консультацию можно по телефону +7 (391) 208-00-15

Пример после выполнения операции и установки протеза
"Март" - это современная и технологичная клиника, оснащенная самым современным оборудованием

Импортные материалы
Современные импортные материалы и оборудование - гарантия качественного и долговечного лечения. 3M, NSK, Euronda, Kerr

Эстетика
Красота на первом месте. Здоровая улыбка сочетающая в себе красоту, долголетие и комфорт.

Безопасность
Безопасные технологии для пациентов. Мировые стандарты стерилизации и обработки инструментов, лечения.

Диагностика
В нашей клинике доктора активно применяют новейшие системы 3D-диагностики для точного планирования лечения, предсказуемых результатов.

Гарантия
Мы даем расширенную гарантию на лечение кариеса в нашем центре от 1 года. Не понравилось? Переделаем! Мы уверены за свой результат.

Сопровождение
Не бросаем своих пациентов. Для нас важно, чтобы здоровье пациентов было под контролем, именно поэтому проявляем сверхзаботу!
Наилучшее, доступное качество лечения за разумные деньги в Красноярске. Высокое качество услуг и диагностики для всей семьи. Гарантия высочайшего качества в клинике стоматологии Март.
В первую очередь мы дорожим каждым пациентом и стараемся выполнять наши обязанности на высшем уровне!
Мне довелось пройти с врачом и администратором Ириной долгий путь . У меня была имплантация, протезирование . За это время я просто влюбилась в администратора Ирину , она очень чуткая и добрая девушка , всегда сопереживала и сочувствовала если у меня шло что-то не так и радовалась от души когда мой этап закончился , а это было почти год . Низкий Вам поклон и удачи в вашей не легкой работе , отдельное спасибо хирургу , он спас меня от всех моих страхов , по матерински пообещал , что будет все хорошо и все приживется . Руки его делали свое дело с такой уверенностью и умением , что нет ни доли сомнения , о том что это врач от бога . Я Вам всем мои родные благодарна и дай вам бог здоровья, удачи и успехов .
Спасибо стоматологии МАРТ и в особенности Золотому врачу Евгению Алексеевичу! Вы вернули мне мои зубы, как в молодости и даже лучше! Просто не могу не нарадоваться своей идеальной улыбке. Шла в клинику, готовилась в неприятным ощущениям и боли, а оказалось все наоборот, приятная атмосфера, даже посмеялись с доктором на общие темы. В общем очень комфортно и спасибо за лечение!
Добрый день! После посещения данной стоматологии остались только положительные эмоции и чувство благодарности за проделанную работу специалистами данного учреждения. Приятный молодой человек произвёл запись онлайн и встретил доброжелательно при в ходе. Очень красивая и чистая обстановка, доброжелательность и профессионализм персонала сделали своё дело. Спасибо вам за вашу работу.
Была на чистке зубов первый раз в своей жизни, все прошло прекрасно и безболезненно! На ресепшен встретили с улыбкой, заполнила необходимые документы, проводили в кабинет и приступили к процедуре Доктор - приятная девушка, всё рассказала о чистке, провела все манипуляции, дала советы, что необходимо сделать с несколькими зубами, посоветовала зубную щетку, все по делу. Чистая, новая и светлая клиника! Буду советовать друзьям и родственникам) Спасибо Вам большое!
Всем добрый день! Я бы тоже хотела поделиться своим отзывом о посещении стоматологической клиники Март. Получилось так, что я с детства боюсь стоматологов и, наверно, я не одна такая😂 как вспомню звук бормашины, сразу мурашки по телу. Естественно, мои походы к стоматологу можно пересчитать по пальцам одной руки. И Слава богу, что у меня практически нет проблем с зубами, кроме пары пломб ещё в школьные годы. Огромное спасибо клинике Март, рекомендую от души.